Agenda tu cita ahora


Implantología

Cirugía Guiada Digital: la nueva era en implantología

Dientes fijos en 1 solo día

Cirugía Guiada Digital

En minutos, segura y precisa

Sin Dolor, Sin Ansiedad

Anestesia con Óxido Nitroso

Para Toda Tu Vida

Implantes con Patente Mundial

Coronas 100% Zirconio

Con modelado 3D

Ingeniería Dental Avanzada

Nuestro proceso digital en implantología combina escaneado dental, tomógrafo 4K, planificación avanzada con fresado en nuestro laboratorio y tecnología CAD/CAM para ofrecerte soluciones personalizadas con precisión y eficiencia

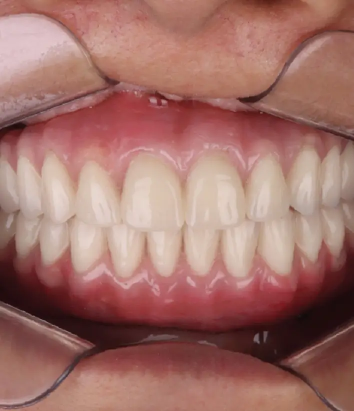
Experiencia Clínica en Resultados Reales

Casos reales que reflejan precisión, planificación y criterio profesional.

Después
Antes
Después
Antes

Tu tranquilidad es parte del tratamiento

En Cedenty ofrecemos distintos tipos de sedación para que vivas tu tratamiento de forma cómoda, segura y sin ansiedad. Evaluamos cada caso para elegir la opción más adecuada para ti.

Sedación consciente

Permite que el paciente esté relajado y tranquilo durante el tratamiento, pero despierto y capaz de responder. Ayuda a reducir la ansiedad y el miedo, haciendo la experiencia mucho más cómoda y segura.

Sedación profunda

Indicada para procedimientos más complejos o pacientes con alto nivel de ansiedad. El paciente se encuentra en un estado de sueño profundo, bajo control y supervisión médica especializada, garantizando confort y seguridad durante todo el procedimiento.

Testimonios de nuestros pacientes

Opiniones de quienes confían en nosotros

Más de 30 valoraciones positivas en Google

Agenda tu cita y vive una nueva forma de odontología.