Agenda tu cita ahora


Ortodoncia

Bienvenido a la Nueva Era de la Ortodoncia

Prevención de Dolores

Musculares, cefaleas, migraña

Corrección de apiñamiento

Mejora la masticación

Sin Dolor, Sin Ansiedad

Técnicas de vanguardia

Equilibrio funcional

Disminución del desgaste dental

En Cedenty transformamos tu sonrisa con los sistemas más avanzados en ortodoncia digital. Utilizamos escaneo 3D, planificación virtual y técnicas de alineación de última generación para lograr resultados precisos, cómodos y predecibles. Tu tratamiento es personalizado, eficiente y diseñado para brindarte una sonrisa armónica y funcional.

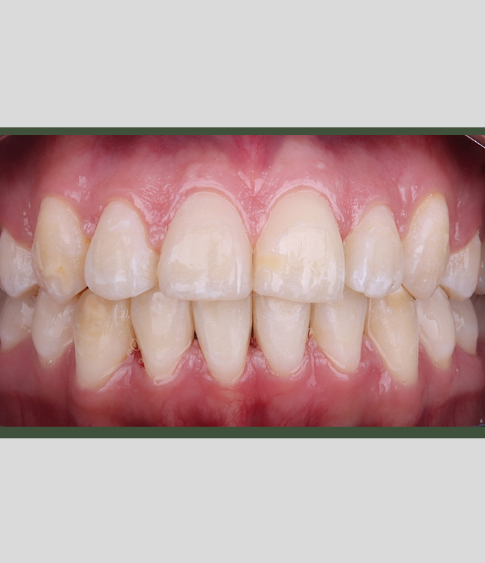
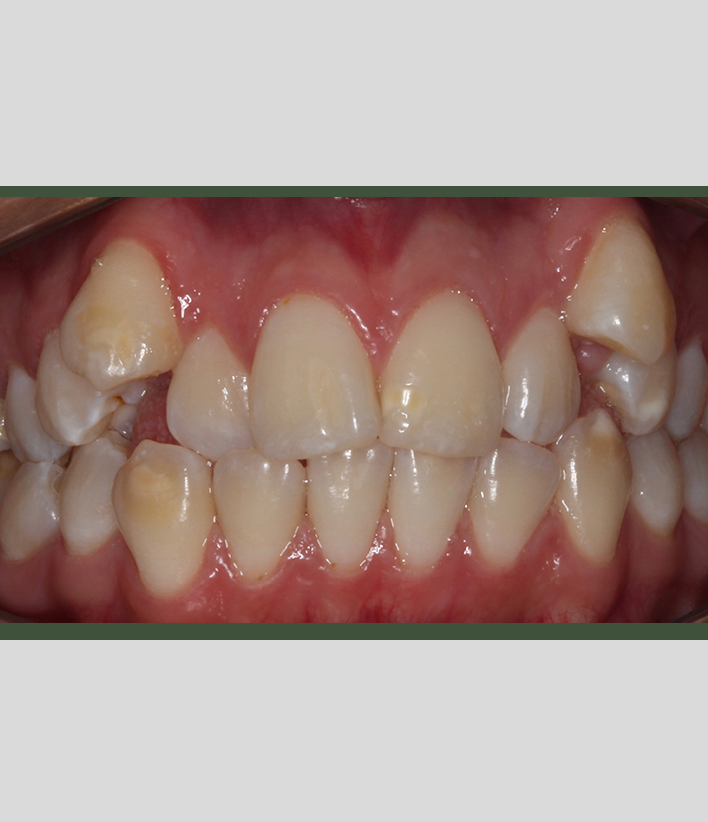
Experiencia Clínica en Resultados Reales

Casos reales que reflejan precisión, planificación y criterio profesional.

Después
Antes
Después
Antes

Tu tranquilidad es parte del tratamiento

En Cedenty ofrecemos distintos tipos de sedación para que vivas tu tratamiento de forma cómoda, segura y sin ansiedad. Evaluamos cada caso para elegir la opción más adecuada para ti.

Sedación consciente

Permite que el paciente esté relajado y tranquilo durante el tratamiento, pero despierto y capaz de responder. Ayuda a reducir la ansiedad y el miedo, haciendo la experiencia mucho más cómoda y segura.

Sedación profunda

Indicada para procedimientos más complejos o pacientes con alto nivel de ansiedad. El paciente se encuentra en un estado de sueño profundo, bajo control y supervisión médica especializada, garantizando confort y seguridad durante todo el procedimiento.

Testimonios de nuestros pacientes

Opiniones de quienes confían en nosotros

Más de 30 valoraciones positivas en Google

Agenda tu cita y vive una nueva forma de odontología.